Themenbereich
Bewusstseinsforschung

Die materialistische Naturwissenschaft geht davon aus, dass Bewusstsein ein Produkt des Gehirns ist und mit dem physischen Tod endet. Gegen diese Behauptung sprechen inzwischen immer mehr Forschungsstudien, Experimente und Erfahrungsberichte. Diese legen nahe, dass Bewusstsein unabhängig vom Gehirn existieren und kommunizieren kann.


Wo steckt das Bewusstsein?
(Hirnforschung / 5 Artikelseiten)


(1) Medizin:
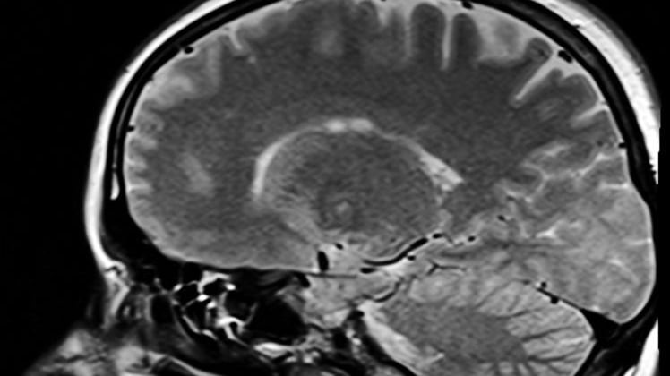
Medizinische Rätsel: Volles Bewusstsein trotz Hirnschäden

Von unerklärlichen Klarheitsmomenten Demenzkranker und von einem Mann, der mit nur 10% Gehirnmasse über ein ganz normales Bewusstsein verfügt

(2) Philosophie:
Ist das Gehirn Träger oder nur Überträger von Bewusstsein? - Teil 1

Einführung in das Modell vom Gehirn als Transmitter für ein metaphysisches Bewusstsein

(3) Philosophie:
Ist das Gehirn Träger oder nur Überträger von Bewusstsein? - Teil 2

Anwendung des Modells des Gehirns als Sender/Empfänger für nichtphysisches Bewusstsein auf empirische Phänomene

(4) Neurowissenschaft:
Auszüge eines historischen UN-Symposiums zum Bewusstsein

Als sich zu Beginn des neuen Jahrtausends  namhafte Wissenschaftler trafen, um über ihr Verständnis von Bewusstsein und Realität auszutauschen

(5) Parapsychologie:
Kuriose Einzelfälle und parapsychologische Forschung

Über erstaunliche Bewusstseinsleistungen und die ungewöhnliche Arbeit von Forschern wie Prof. Etzel Cardena, Prof. Adrian Parker und Dr. Dean Radin


Erkenntnisse der Nahtodforschung
(Medizin / 3 Artikelseiten)


(1) Medizin:
Die Pionierarbeit von Prof. Bruce Greyson und Dr. van Lommel

Warum die "Urväter" der Nahtodforschung ihr materialistisches Weltbild aufgaben

(2) Medizin/Journalistik:
Fallbeispiele: Betroffene berichten

Erfahrungsberichte aus erster Hand: Entdecken Sie die Schilderungen von Betroffenen in persönlichen Interviews

(3) Medizin:
Nahtoderfahrung eines Neurochirurgen

Wie der renommierte Hirnforscher Dr. Eben Alexander seine eigene Nahtoderfahrung beurteilt


Studien zur mentalen Beeinflussung von Zufallsprozessen
(Parapsychologie / 3 Artikelseiten)


(1) Parapsychologie:
Prof. Robert Jahn und die Forschung am PEAR-Labor

Experimente zur mentalen Beeinflussung von Zufallsgeneratoren an der Princeton University (USA)

(2) Parapsychologie:
Das Global Consciousness Project

Kann die gebündelte Aufmerksamkeit der Weltbevölkerung Zufallsgeneratoren beeinflussen?

(3) Parapsychologie:
Dr. Dean Radin: Mentale Beeinflussung des Doppelspaltexperiments

Versuchsreihe zur mentalen Beeinflussung des Interferenzmusters am Doppelspalt und weitere Experimente (Foto: Dj Jo Flickr CC)


Geheimdienstliche Forschung zur Fernwahrnehmung
(Militärgeschichte / 5 Artikelseiten)


(1) Geschichte/Politik:
Der Hintergrund: Spionage im Kalten Krieg

wie im US-Geheimdienstprojekt "Stargate"  Informationen per "Remote Viewing"  beschafft werden sollten

(2) Parapsychologie:
Die Akteure: Wissenschaftler und Viewer

Wie Geheimdienste und Militär mit Wissenschaftlern vom Stanford Research Institute (Foto) kooperierten

(3) Parapsychologie:
Die Technik: Das Remote Viewing Protokoll

Warum Fernwahrnehmung kein Blick in die Glaskugel ist, sondern einem ausgeklügelten Verfahren folgt

(4) Geschichte/Politik:
Die Beurteilung: AIR-Report als gezielte Abwiegelung?

Während ein offizieller Bericht das Projekt "Stargate" als wirkungslos einstufte, behaupten sämtliche Beteiligten das Gegenteil

(5) Parapsychologie:
Tipps zur Überprüfung im Selbstexperiment

Wie Sie selbst herausfinden können, ob "Remote Viewing" (Fernwahrnehmung) möglich ist


Studien zur Telepathie
(Parapsychologie / 2 Artikelseiten)


(1) Psychologie:
Studien aus dem 20. Jahrhundert

Experimente von Prof. Grinberg-Zylberbaum, Dr. Marilyn Schlitz, Dr. Daryl Bem (Foto) und weiteren Wissenschaftlern

(2) Psychologie:
Jüngere Studien seit den 2000er Jahren

Variationen der Vorgänger-Studien durch Prof. Parker, Dr. Leanna Standish und weiteren Wissenschaftlern


Forschung an Kindern, die vorgeben, frühere Leben zu erinnern
(Psychologie / 5 Artikelseiten)


(1) Psychologie:
Hintergründe und beteiligte Professoren

Über die Pionierarbeit von Prof. Ian Stevenson und die Fallstudien weiterer Forscher

(2) Psychologie:
Fallbeispiel: James Leininger

Wie die Erinnerungen des kleinen James Leininger an ein Vorleben als US-Soldat historisch überprüft werden konnten

(3) Psychologie:
Fallbeispiel: Titu Singh

Über verfizierte Erinnerungen und ein Körpermerkmal, das zur Todesursache im berichteten Vorleben passte

(4) Psychologie:
Fallbeispiel: Ryan Hammons

Ein jüngerer Fall aus den USA - überprüft vom Kinderpsychiater Prof. Jim Tucker von der University of Virginia

(5) Literaturanalyse:
Das Lebenswerk von Dieter Hassler

Über den deutschen Ingenieur Dieter Hassler und seine umfassende Auswertung internationaler Fallstudien


Wissenschaftliche Studien zu Jenseitskontakten
(Psychologie / 4 Artikelseiten)


(1) Psychologie:
Die EREAMS-Studie aus Deutschland

In dieser Studie unter der Leitung von Prof. Lazar konnte nachgewiesen werden, dass mediale Kontakte möglich sind

(2) Psychologie:
Internationale und historische Studien

In den vergangenen Jahrzehnten gab es weltweit mehrere Studien, in denen Medialität wissenschaftlich untersucht wurde

(3) Metawissenschaft:
Jenseits-Kontakte live im Fernsehen?

Mitschnitte aus den 1990er Jahren: Ein Auftritt von Paul Meek und ein Live-Experiment mit "Tonbandstimmen" unter Aufsicht von Prof. Senkowski

(4) Metawissenschaft:
Tipps zur Überprüfung im Selbstexperiment

Wie Sie ein seriöses Medium finden und mit der richtigen Herangehensweise die Realität von Jenseits-Kontakten verifizieren können


Außerkörperliche Erfahrungen
(Neurologie / 2 Artikelseiten)


(1) Neurologie:
AKEs und wissenschaftliche Erklärungsansätze

Wie Neurologen Außerkörperlichkeit als Illusion herbeiführen - und was das (nicht) beweist

(2) Anomalistik:
Tipps zur Überprüfung im Selbstexperiment

Wie man versuchen kann, selbst eine außerkörperliche Erfahrung zu erleben


Geist und Gesundheit
(Medizin / 2 Artikelseiten)


(1) Medizin:
Alles nur Placebo?

Wissenschaftliche Studien zum Einfluss des Geistes auf den Verlauf von Heilungsprozessen

(2) Medizin:
Charlie Goldsmith: Wunderheiler oder Scharlatan?

Fallberichte, Reportagen und eine wissenschaftliche Stude